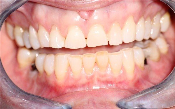
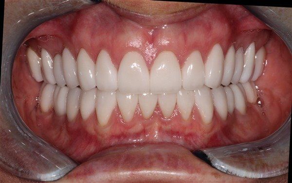
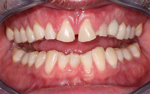
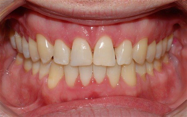
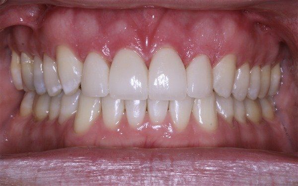
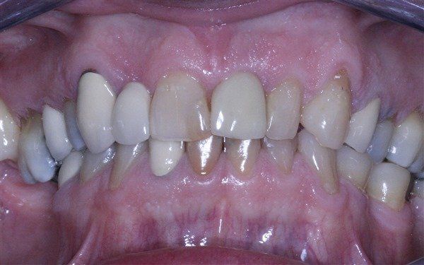
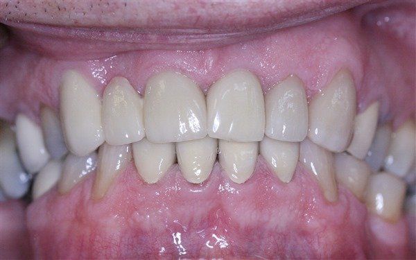
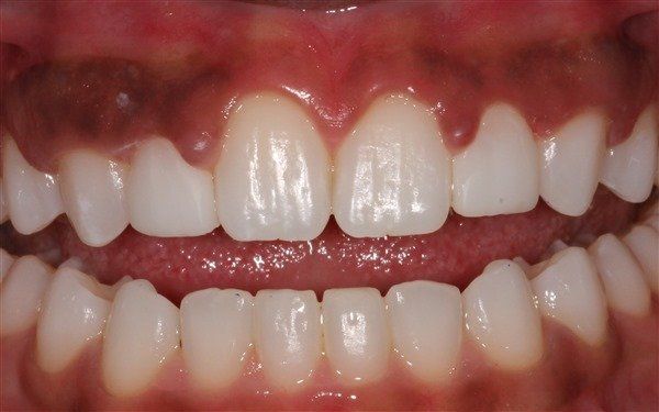
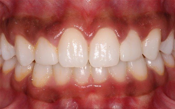
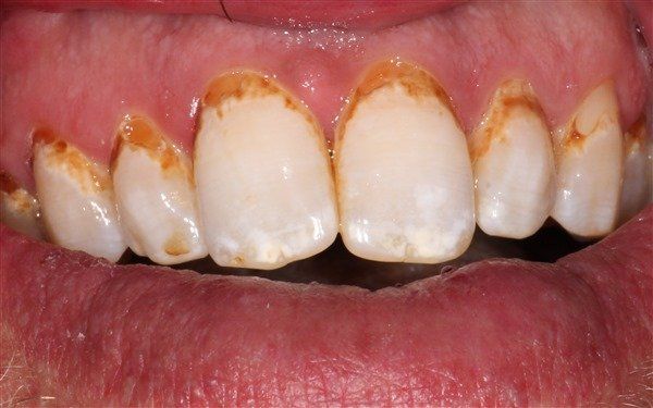
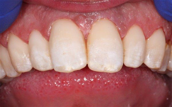
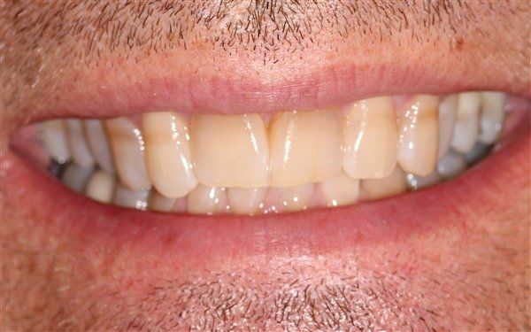
Check Out Some of Our Wonderful Results
Change your life with a fresh new smile from Sage Creek Dental. Below are some before and after pictures of successful dental procedures we've performed. We accept most major insurance plans. To schedule an appointment, call (208) 733-6074 or fill out our online form.



















Share On: